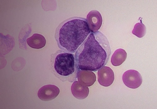
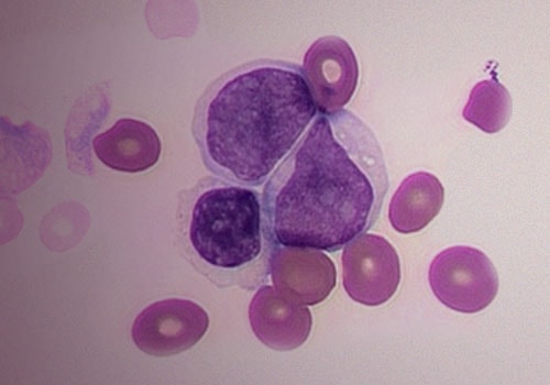
Clinical Utility of DxH 900 Hematological Parameters
In this on-demand webinar, Dr. Maite Serrando, MD, PhD and Dr. Alba Herraiz Ruiz share their experience with the clinical utility of DxH 900 technology and its hematological parameters. They discuss the power of near-native cell characterization as well as the performance of Monocyte Distribution Width (MDW) as a severity of infection marker.
English


